Aurisicchio (Takis), i test eseguiti nel laboratorio di Virologia dello Spallanzani
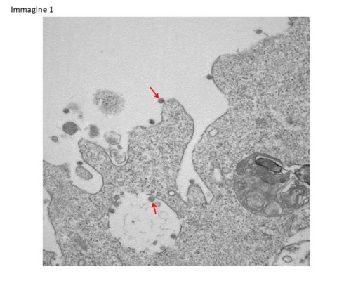
Nella foto si osservano chiaramente, ad un ingrandimento di 30000X, le particelle virali di Sars-CoV-2 (indicate dalle frecce), adese alle membrane sulla superficie e all?interno di cellule Vero E6 utilizzate per l?isolamento. (Foto: Statale di Milano)
Funzionano gli anticorpi generati nei topi dal vaccino italiano dell’azienda Takis: lo indicano i test eseguiti nel laboratorio di Virologia dell’istituto Spallanzani. Lo ha detto all’ANSA l’amministratore delegato Luigi Aurisicchio. E’ il livello più avanzato finora raggiunto nella sperimentazione di un candidato vaccino nato in Italia, ma i test sull’uomo sono previsti comunque dopo l’estate.