L’ostaggio israeliano Kfir Bibas compie oggi un anno in prigionia
E' il più giovane dei rapiti nell'attacco di Hamas dello scorso 7 ottobre
E' il più giovane dei rapiti nell'attacco di Hamas dello scorso 7 ottobre
Il giovane è accusato anche di lesioni aggravate nei confronti di una 21enne: avrebbe abusato della ragazza insieme ad altri non identificati
Il medico seguirà i reali per la convalescenza. Criticato dalla stampa per le sue cure alternative, a dicembre è stato nominato dal re capo ufficiale medico dei Windsor
Le parole del ministro degli Esteri Sergei Lavrov in conferenza stampa. E sull'Ucraina assicura: "Non c'è speranza che Mosca venga sconfitta"
L'allenatore nerazzurro: "In campionato duello con la Juve ma c'è anche il Milan"
Il 31enne nelle dichiarazioni spontanee durante il processo che lo vede alla sbarra per l’omicidio della compagna: "Da quel giorno non vivo più, ogni sera spero di non svegliarmi più"
Napoli-Fiorentina, al via oggi la Supercoppa Italiana: orario, dove vederla in tv e streaming
Covid Italia, crollo dei ricoveri: ultimi dati
La procura ha anche emesso un decreto di perquisizione locale della sede napoletana di CasaPound
Secondo gradino del podio per Rai1 con il film 'Mio fratello rincorre i dinosauri' , terzo posto per Rai3 con 'Chi l'ha visto?'
Suprema corte chiamata ad esprimersi sul gesto compiuto durante una commemorazione di esponenti di destra deceduti
Il regista dà mandato ai legali: "Odiosa diffamazione verso 4 persone che non si sono più"
Grazie a nuovi studi scoperto nella Villa Farnesina il blu egizio sulla volta della Loggia di Amore e Psiche.
Magnitudo 1.3 a una profondità di 3 chilometri
Secondo il Wall Street Journal un ricercatore cinese, già alla fine di dicembre 2019, caricò la sequenza quasi completa della struttura del virus in un database gestito dal governo Usa
Salve le posizioni di chi ha superato le prove e si è iscritto ai corsi
L’evento, giunto ormai alla terza edizione, dal 4 al 7 Aprile tornerà ad attraversare un territorio fra i più belli e apprezzati della penisola italiana
Teresa Giglio all'Adnkronos: "Punire i profili fake, stop ai tribunali del web"
Con le temperature crollate a -18°C, le stazioni di ricarica facevano fatica a dare il pieno di energia alle macchine elettriche
Sei le persone rimaste ferite, tre delle quali in gravi condizioni. Strada chiusa e traffico in tilt
La 'Passeggiata con gli squali' è una delle attrazioni del resort
L'ironia dello showman su una notizia che arriva dall'estero: "In India ambulanza prende buca, uomo dichiarato morto torna in vita. Ha chiesto 'dove sto, a Roma?'"
L'azzurro eliminato dallo spagnolo in quasi 3 ore e mezza di gioco
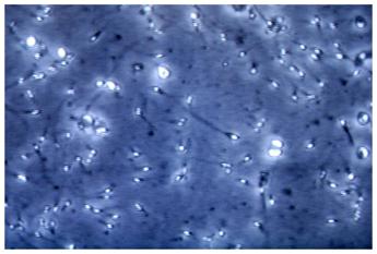
Senza proteina strategica testa e coda non 'parlano' e si perde capacità di nuotare verso ovulo, tesi apre via anche a nuovo contraccettivo
Anche quest’anno, si legge sul sito del Miur, le procedure si svolgeranno online praticamente per tutti
L'inedita Red Mystery Box sarà importantissisma: per la prima volta, la prova sarà color rosso fiammante e nasconderà più di una temibile sorpresa per i cuochi amatoriali
Al Jazeera parla anche di un raid dell'Idf a Tulkarem, in Cisgiordania, in corso da oltre 27 ore. Raid Usa e Gb su aree controllate dagli Houthi nello Yemen
"Abbattuti 10 missili di Kiev su Belgorod, intercettati droni nelle regioni di Mosca e Leningrado"
Il giovane cantautore pugliese al suo esordio all'Ariston: "Ho avuto un nodo alla gola alle prime prove con l'orchestra. Nella serata cover voglio emozionare"
Il ministero degli Esteri pakistano ha confermato gli attacchi contro postazioni di presunti gruppi terroristici nella provincia del Sistan e Balochistan, nel sud-est del Paese